Posted inGeneral Topics Mice Stem Cells Suggest TMJ Treatment by Biloine W. Young October 21, 2016November 1, 2024
Posted inGeneral Topics Here’s How Rare Meniscus Cartilage Repair Is by Biloine W. Young October 21, 2016November 1, 2024
Posted inGeneral Topics Does Sex Improve Athletic Performance? by Biloine W. Young October 13, 2016November 1, 2024
Posted inGeneral Topics Carbon Reinforced PEEK vs Metal Implants by Biloine W. Young October 13, 2016November 1, 2024
Posted inGeneral Topics 101-Year-Old Woman Gets Knee Replacement Surgery by Biloine W. Young October 13, 2016November 1, 2024
Posted inGeneral Topics Knee Replacement Has No Effect on Longevity, Study Reports by Biloine W. Young October 5, 2016November 1, 2024
Posted inGeneral Topics Amendia Launches Syzygy Spinal Stabilization System by Biloine W. Young October 5, 2016November 1, 2024
Posted inGeneral Topics FDA Approves Test (IDE) of Cartilage Repair Product by Biloine W. Young October 5, 2016November 1, 2024
Posted inGeneral Topics Same Day Joint Replacement Big at Campbell Clinic by Biloine W. Young October 5, 2016November 1, 2024
Posted inGeneral Topics First European Implants of Integra’s New Cadence Ankle System by Biloine W. Young October 4, 2016November 1, 2024
Posted inGeneral Topics Chinese Research Favors Double Incision Carpal Tunnel Surgery by Biloine W. Young October 4, 2016November 1, 2024
Posted inGeneral Topics First Osteointegrated Surgery Performed in California by Biloine W. Young September 28, 2016November 1, 2024
Posted inGeneral Topics U.S. Highest, Spain Lowest In Arthritis Treatment Costs by Biloine W. Young September 23, 2016November 1, 2024
Posted inGeneral Topics Bad News: Jumper Break Legs, Good News: Implants Survive by Biloine W. Young September 23, 2016November 1, 2024
Posted inBiologics, Spine Will a $95 Million Deal Bring Chemonucleolysis Back? by Biloine W. Young September 23, 2016October 24, 2024
Posted inGeneral Topics U.S. Meniscus Replacement Clinical Trial Under Way by Biloine W. Young September 20, 2016November 1, 2024
Posted inGeneral Topics Race Walkers Defend Peculiar Sport by Biloine W. Young September 20, 2016November 1, 2024
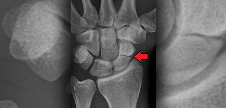
Posted inGeneral Topics New Study: 1 out of 6 Scaphoid Fractures Are Nonunion by Biloine W. Young September 16, 2016November 1, 2024
Posted inGeneral Topics Gold Plus Vitamin E-Impregnated Implants by Biloine W. Young September 16, 2016November 1, 2024
Posted inGeneral Topics Cheap Paint Ingredient Raises Safety and Effectiveness of BMP-2 by Biloine W. Young September 9, 2016November 1, 2024
Posted inGeneral Topics FDA Clears Carestream 3D Imaging System by Biloine W. Young September 9, 2016November 1, 2024
Posted inGeneral Topics University and Med Center Join To Build Sports Medicine Facility by Biloine W. Young September 8, 2016November 1, 2024
Posted inGeneral Topics $3.9 million NIH Grant to Michigan Musculoskeletal Center by Biloine W. Young September 8, 2016November 1, 2024
Posted inGeneral Topics Toe Stretching Urged For Foot Pain by Biloine W. Young September 1, 2016November 1, 2024
Posted inGeneral Topics Joint Replacement Registry Hits Half Million Mark by Biloine W. Young September 1, 2016November 1, 2024
Posted inGeneral Topics 3D Printing Creates Low-Cost Prosthetic Hands for Children by Biloine W. Young September 1, 2016November 1, 2024
Posted inGeneral Topics Wisconsin Brothers Develop 15 Minute Carpal Tunnel Release by Biloine W. Young August 29, 2016November 1, 2024
Posted inGeneral Topics Participation in Sports No Cure for Obesity, High Blood Pressure by Biloine W. Young August 29, 2016November 1, 2024
Posted inGeneral Topics Hospital Challenges CMS Penalty Program by Biloine W. Young August 29, 2016November 1, 2024
Posted inGeneral Topics Spinal Simplicity Launches New Spinal Fusion Device by Biloine W. Young August 26, 2016November 1, 2024