CarboFix Orthopedics, Ltd., based in Herzeliya, Israel, has received FDA clearance to use its CarboClear Carbon Fiber Transverse Connectors with the company’s recently cleared CarboClear Pedicle Screw System.
In an October 3, 2018 press release, Carl Lauryssen, M.D., director of neurosurgery at St. David’s Round Rock Medical Center, Texas, one of the first users of the system in the U.S., said: “These unique implants provide enhanced imaging follow-up and radiation treatment. These implants are a game changer for spinal oncology cases.”
According to FDA documents released on July 18, 2018, the pedicle screw system is intended to “restore the integrity of the spinal column even in the absence of fusion for a limited time period in patients with advanced-stage tumors involving the thoracic and lumbar spine in whom life expectancy is of insufficient duration to permit achievement of fusion.”
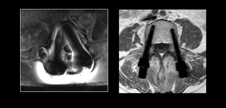
The implants are made of carbon fiber-reinforced polyetheretherketone (CFR-PEEK). The threaded portion of the pedicle screws is encased within a thin titanium shell.
According to the company, the system provides unique clinical advantages to spine cancer patients and their physicians.
“Among those advantages are: no backscattering during radiotherapy (including particle therapy), which allows the use of radiation therapy without harming the healthy surrounding tissue; minimal attenuation of External Beam Radiation (EBRT), allowing radiation to pass through the implant with almost zero reduction in the radiation dose level; and no artifact in CT, for optimal radiation CT planning.”
In addition, the company says the implants offer “superior fatigue strength, beneficial for a patient population known for extended delays in healing. Additionally, the CarboFix implants offer enhanced follow-up abilities due to minimal artifacts during CT/MRI scans, facilitating early detection of possible tumor recurrence.”
To view a video of system, click here.

