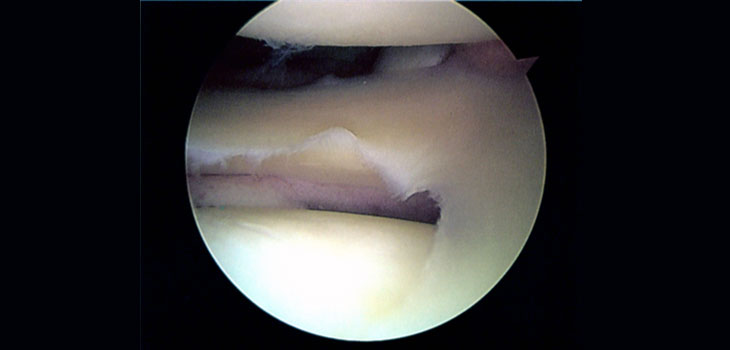
Research from Finland, published in the New England Journal of Medicine, suggests that the thousands of people who have arthroscopic knee surgery to fix a torn cartilage could be wasting their time. The Finish team found that, though keyhole surgery to repair torn cartilage has risen significantly, there is no evidence that it actually helps.
In the typical procedure the surgeon inserts a scope through a small incision to examine the joint and, if required, also partially removes the damaged cartilage through another incision. The Finnish study found that this procedure conferred no more benefits to the patient than did a sham operation.
In their study, the Finnish team recruited 146 patients, age 35 to 65, with meniscal tears that had developed through wear and tear on the knee. None of them had an injury to the knee and none had arthritis of the knee.
The researchers randomly assigned the patients to one of two groups. One group underwent keyhole surgery to partially remove the damaged meniscus and the other underwent a sham procedure. In the sham procedure, the surgeons simulated the real operation. They manipulated the patient’s knee and handled surgical instruments near the knee so the patients were under the impression they were being operated on.
Both groups then underwent arthroscopy. Surgeons inserted a scope into the keyhole so they could look at the torn cartilage, but only one group actually had part of the cartilage removed. Neither the patients nor the people caring for them knew which patients had undergone the real procedure and which had just had the sham operation.
When the researchers interviewed the patients in both groups a year later they found that both were equally satisfied with the results. They all reported that their knees felt better than they had before the operation. Of the partial meniscectomy group, 93% said they would choose the same procedure again, as did 96% of the sham procedure group.
Lead author of the study, Raine Sihvonen, M.D., a specialist in orthopedics and traumatology at Hatanpää Hospital in Tampere in southern Finland, said, “It’s difficult to imagine that such a clear result would result in no changes to treatment practices.” Noting that in western countries, this operation is now the most common surgical procedure after cataract surgery, he added, “By ceasing the procedures which have proven ineffective, we would avoid performing 10, 000 useless surgeries every year in Finland alone. The corresponding figure for U.S. is at least 500, 000 surgeries.”

